Search Dental Tribune

Članki

Filter

Ustni organi rib, ki so sposobni regenerirati tkivo

LONDON, UK / ATLANTA, ZDA: Po analizi obnovitve zob pri živalih, kjer se zobje menjajo in imajo regenerativne sposobnosti, so raziskovalci iz Velike ...

Shrani

Raziskovalci raziskujejo, kako se jezik odziva na različne teksture v hrani

DRŽAVNI KOLEGIJ, PA, ZDA: Ljudje že dolgo vedo, da lahko individualne razlike v okusu in vonju vplivajo na všečnost ali nevšečnost določene hrane. ...

Shrani

Jajčne lupine lahko pomagajo pri zdravljenju zob in kosti

LOWELL, Mass., U.S .: Zdrobljene jajčne lupine se uporabljajo za veliko praktičnih namenov. Uporabljajo se kot naravni kalcijev dodatek, sladilo za kavo, ...

Shrani

Od odpiranja steklenic do trganja solotejpa - študija razkriva nevarne uporabe zob

RUGBY, UK / AMSTERDAM, Nizozemska: Ugotovitve nove študije kažejo, da večina ljudi ne uporablja svojih zob samo za prehranjevanje. Raziskava Fundacije za...

Shrani

Mlečni zobje razkrili neznano skupino starodavnega ljudstva

Znanstveniki so pred kratkim odkrili dva mlečna zoba, zakopana globoko v oddaljenem arheološkem najdišču v severovzhodni Sibiriji. Odkritje je razkrilo,...

Shrani

Enostavna vadba za izboljšanje oralne funkcije pri starejših

SEOUL, Južna Koreja: Starejši odrasli se pogosto soočajo z zmanjšano salivacijo in kserostomijo, kar lahko privede do ustnih bolezni mehkih tkiv, ...

Shrani
advertisement

Dokazano: kajenje oslabi mehanizme za boj proti pulpitisu

Cleveland, ZDA: Negativni zdravstveni učinki kajenja so dobro znani; kljub temu so do sedaj le redki raziskovali njegove vplive v endodontiji. Nova ...

Shrani

Raziskovalci razvijajo mikrorobote za razgradnjo zobnih oblog

PHILADELPHIA, U.S .: Boj proti zobnemu plaku je že zelo stara bitka. Raziskovalci z Univerze v Pennsylvaniji so z razvojem mikrobotov, vodenih z magneti, ...

Shrani

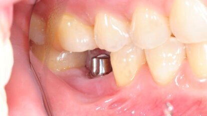
Kovinska keramika je še vedno zlati standard, kaže študija

ŽENEVA, Švica: Kljub velikemu izboru materialov, ki so na voljo na trgu implantatov, je izbira najboljše možne obnovitvene rešitve za zdravnike težka....

Shrani

Študija o razširjenosti koreninskega kanala MB2 v svetovni populaciji

LIZBONA, Portugalska: Raziskave so v preteklosti pokazale, da je neuspešno endodontsko zdravljenje maksilarnih molarjev lahko posledica neodkritega drugega...

Shrani

Fluoridni premaz na mlečnih zobeh pozitivno vpliva na preprečevanje kariesa

Köln, Nemčija: Sodeč po raziskavah se pojavnost kariesa pri odraslih in mladostnikih v Nemčiji zmanjšuje, vendar ima približno 14 % 3-letnikov ...

Shrani

Expodental Meeting 2019

Rimini, Italija. Inovacije in izkušnje sta ključni besedi sejma Expodental Meeting 2019 in njegovih spremljevalnih dogodkov, ki se jih bodo obiskovalci ...

Shrani
advertisement

Letno srečanje založnikov: DTI je usmerjen v prihodnost

Köln, Nemčija: Dental Tribune International (DTI) je pred pričetkom 38. mednarodnega zobozdravstvenega sejma (IDS) organiziral 15. letno srečanje ...

Shrani

Sankt Peterburg v zobozdravstvenih lučeh

Ljubljana, Slovenija. Maja in junija 2019 bodo v ruskem mestu Sankt Peterburgu organizirali največji letošnji Bredentov dogodek: Bredent Group Days. ...

Shrani

Ali najprej očistiti zobe ali najprej uporabiti nitko?

Raziskovalci so ugotovili, da je nitkanje pred ščetkanjem primernejše za temeljito odstranjevanje zobnih oblog. Poročilo je objavljeno v Journal of ...

Shrani

Žvečilni gumi je lahko učinkovita dostava vitaminov, kaže študija

PENNSYLVANIA, ZDA: Brez pretiranega iskanja po internetu, lahko ugotovimo, da je koristnost žvečilnih gumijev nejasna. V nedavni študiji, ki pomaga ...

Shrani
advertisement

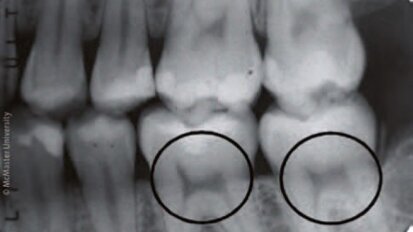
Zobni rentgen lahko razkrije pomanjkanje vitamina D

HAMILTON, Kanada: Človeški zobje vsebujejo pomembne informacije o pomanjkanju vitamina D in kanadski antropologi so ugotovili, da je to hudo, a pogosto ...

Shrani

Nove raziskave povezujejo oralno zdravja in telesno težo

GOTHENBURG, Švedska: Zdrava prehrana otrok je pomembna naloga. Raziskava doktorske študije na akademiji Sahlgrenska Academy of the University of ...

Shrani

Intervju: Usklajeno delovanje nas lahko vodi v prihodnost brez kariesa

Pereč problem sodobnega zobozdravstva ostaja zaskrbljujoča razširjenost zobnega kariesa in sicer navkljub porastu splošnega zavedanja pomena oralnega ...

Shrani

Samo še dva tedna do začetka EAO 2018 na Dunaju

Dunaj, Avstrija: Od 11. do 13. oktobra bodo zobozdravstveni strokovnjaki lahko znova okrepili znanstveno znanje in izmenjali klinične izkušnje na 27. ...

Shrani
advertisement

Raka, povezanega s HPV, najpogosteje najdemo v ustni votlini

ATLANTA, ZDA: Humani papilomavirus (HPV) je ena najpogostejših spolno prenosljivih okužb in znani vzrok raka materničnega vratu ter nekaterih drugih vrst...

Shrani

Devet mesecev do IDS 2019

KÖLN, Nemčija: 38. mednarodni Dental show (IDS), najpomembnejši sejem zobozdravstva na svetu, bo potekal od 12. do 16. marca 2019 v Kölnu. Podjetja, ki ...

Shrani
advertisement

FOREO nova zobna ščetka je revolucija vsakodnevne ustne nege

LONDON, UK: V povezavi s svetovnim dnem ustnega zdravja, je švedska blagovna znamka FOREO, ki izdeluje električne zobne ščetke, v celoti izdelane iz ...

Shrani

Razvoj zobne paste

Najosnovnejši namen zobne paste je pomagati vaši zobni ščetki opraviti svoje delo. Teorija optimalnega oralnega zdravja pomeni ohraniti nevtralen pH, ...

Shrani

Klorheksidin in Alpanta - nova formula, ki povečano deluje na biofilm in vnetje

Kombinacija 0,12% klorheksidin diglukonata in Alpante (alantoin pantenola) je učinkovito sredstvo in koadjuvans pri večini parodontalnih bolezni in ...

Shrani

Študija JOMS: Botox lahko razbremeni bolečine v mišicah čeljusti

Terapija botoksa lahko v veliki meri pomaga, z le blagim tveganjem negativnih učinkov na bolnike z bolečinami v mišicah, ki so prisotne pri žvečenju, v...

Shrani
advertisement

O klorheksidinu

Klorheksidin je kationski antiseptik, ki se široko uporablja za preprečevanje in zmanjševanje plaka. Molekulo je v 40-ih letih razvilo podjetje Imperial ...

Shrani

Zob v eni uri: časovna bomba

V svojem predavanju na letošnjem srečanju EAO v Madridu, so udeleženci prejeli pregled več kot 50 let dela z vsadki in zakaj smo to storili na določene...

Shrani

Srečanje založnikov: DTI postaja digitalna dentalna platforma

Köln, Nemčija: Pred 37. Mednarodnim zobozdravstvenim sejmom IDS, je potekalo že 13. letno srečanje založnikov časopisa Dental Tribune ...

Shrani

Sodobne tehnike oralne higiene

V ustni votlini se nahaja do 800 različnih vrst bakterij, od katerih so mnoge kariogene. Cilj dobre ustne higiene je odstranitev the bakterij iz ustne ...

Shrani
advertisement
advertisement