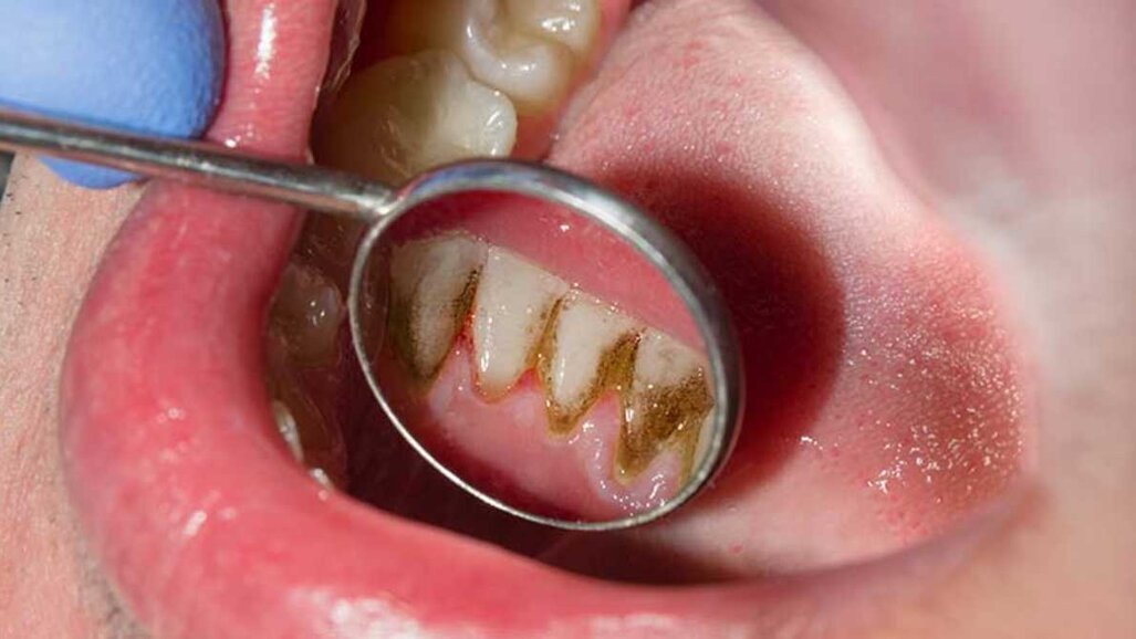
PHILADELPHIA, U.S .: Boj proti zobnemu plaku je že zelo stara bitka. Raziskovalci z Univerze v Pennsylvaniji so z razvojem mikrobotov, vodenih z magneti, ki lahko razbijejo in odstranijo zobni biofilm, naredili velik korak. Inovacija je nastala z meddisciplinarnim povezovanjem med zobozdravniki, biologi in inženirji.
Glavni raziskovalec prof. Hyun Koo z Univerze dentalne medicine v Pennsylvaniji (Penn Dental Medicine) je dejal, da je razvoj sinergistična in multidisciplinarna interakcija. „Izkušnje mikrobiologov in kliničnih znanstvenikov ter inženirjev povezujemo v najboljši možni sistem za izkoreninjenje mikrobov. To je pomembno tudi za druga biomedicinska področja, ki se soočajo z biofilmom, odpornim na zdravila, ko se približujemo obdobju po antibiotiku, «je pojasnil.
To sodelovanje se je udejanjilo, ko so Koo in njegovi sodelavci razgradili biofilmske matrike z uporabo nanodelcev, ki vsebujejo železov oksid in delujejo katalizatorsko z aktivacijo vodikovega peroksida in sproščanja prostih radikalov, ki lahko uničijo bakterije in biofilm.
Naključno pa je skupina Penn Dental Medicine ugotovila, da skupina Penn Engineering, katero vodijo dr. Edward Steager, prof. Vijay Kumar in prof. Kathleen Stebe, dela z robotsko platformo, ki uporablja zelo podobne nanodelce železovega oksida kot gradnike za mikrorobote. Inženirji nadzorujejo premikanje teh robotov z uporabo magnetnega polja, kar jim omogoča upravljanje.
Sestavljena projektna skupina je skupaj dizajnirala, optimizirala in testirala dve vrsti robotskih sistemov, poimenovanih katalitični protimikrobni roboti ali CARs. En sistem deluje na površini, drugi pa deluje znotraj v medprostorih. Po testiranju robotov na biofilmu, na ravnih steklenih površinah in v zaprtih steklenih ceveh, so raziskovalci stestirali odstranitev biofilma tudi na težko dostopnih delih človeških zob. Mikroroboti CARs so razgradili in odstranili bakterijski biofilm ne samo na površini zob, ampak tudi iz najtežje dostopnih delov zob.
"Metode odstranjevanja biofilma so neučinkovite, ker ne omogočajo sočasne razgradnje matrixa, uničenja bakterij in fizične odstranitve ostankov," je poudaril Koo. "Ti roboti lahko sočasno opravljajo vse tri aktivnosti zelo učinkovito in pri tem pa ne puščajo ostankov biofilma."
»Odstranjevanje biofilma, ki se pojavlja na zobeh, zahteva veliko ročnega dela, tako s strani pacienta kot tudi stomatologa. Upamo, da bomo izboljšali možnosti zdravljenja in zmanjšali težave pri oskrbi, «je dejal Steager.
Skupina sedaj upa, da bo svoj izum prenesla v klinično prakso in je zato že pridobila podporo ustanov: Penn Center for Health, Devices and Technology, šole Perelman School of Medicine, Penn Engineering in Univerze v Pensilvaniji.
Povzeto po raziskovalnem članku z naslovom "Katalitski antimikrobni roboti za izkoreninjenje biofilma", ki je bil objavljen v reviji Science Robotics aprila 2019.
GREIFSWALD, Nemčija: Nemški znanstveniki so napovedali začetek novega raziskovalnega projekta, katerega cilj je razvoj inovativnega izdelka za zobno ...
Odense, Danska / VALENCIA, Španija: Za določitev potencialnih biomarkerjev za zobno gnilobo, je mednarodna skupina raziskovalcev podrobneje raziskala ...
WASHINGTON, ZDA: Naravne spojine še naprej pritegujejo pozornost kot potencialne alternative sintetičnim sredstvom pri preprečevanju kariesa. ...
Kakav predstavlja enega od glavnih virov teobromina, obenem pa pri človeku ne povzroča negativnih stranskih učinkov. Raziskovalci so v študiji ...
São José Dos Campos, Brazilija: Oralna travma je v športu pogosta, zaradi česar so ščitniki za usta nujni. Ščitniki za usta se za športno uporabo ...
CAMBRIDGE, Massachusetts, ZDA: z novim razvojem potencialnega materiala za 3D-tiskanje in konvencionalnega litja v zobozdravstvu so raziskovalci na ...
MIAMI, ZDA: Yomi je robotsko podprta kirurška naprava, ki jo je razvilo novo zdravstveno podjetje Neocis. To je edini sistem te vrste, ki mu je Ameriška ...
DRŽAVNI KOLEGIJ, PA, ZDA: Ljudje že dolgo vedo, da lahko individualne razlike v okusu in vonju vplivajo na všečnost ali nevšečnost določene hrane. ...
New York – Fluoridi ščitijo naše zobe pred kariesom, lahko pa jih tudi poškoduje in povzročijo grde madeže. Raziskovalci so odkrili, zakaj je ...
CHICAGO, ZDA: Hidroksiapatit je pomembna sestavina trdega tkiva. Zobna sklenina ima na primer najvišjo koncentracijo tega minerala. Disfunkcionalna ...
Webinar v živo
čet. 14 maj 2026
6:00 (CET) Ljubljana
Webinar v živo
čet. 14 maj 2026
8:00 (CET) Ljubljana
Prof. Hani Ounsi DDS PhD FICD
Webinar v živo
tor. 19 maj 2026
5:00 (CET) Ljubljana
Webinar v živo
tor. 19 maj 2026
7:00 (CET) Ljubljana
Prof. Dr. med. dent. Ivo Krejci
Webinar v živo
sre. 20 maj 2026
1:00 (CET) Ljubljana
Dr. Graham Carmichael BDSc (Hons), DClinDent (Pros), FRACDS, Dr. Robert Gottlander DDS
Webinar v živo
sre. 20 maj 2026
3:00 (CET) Ljubljana
Webinar v živo
sre. 20 maj 2026
7:00 (CET) Ljubljana
Prof. Dr. med. dent. Tim Joda PhD, MSc, eMBA
To post a reply please login or register