HAMILTON, Kanada: Človeški zobje vsebujejo pomembne informacije o pomanjkanju vitamina D in kanadski antropologi so ugotovili, da je to hudo, a pogosto prikrito stanje mogoče zaznati s preprosto zobno radiografi jo. Prepoznavanje posameznikov, ki so doživeli pomanjkanje vitamina D, ima pomemben potencial za razumevanje dejavnikov, ki so v preteklosti škodili zdravju ljudi.
Raziskovalki z Univerze McMaster prof. Megan Brickley in Lori D'Ortenzio s kolegi sta v preteklosti odkrili, da človeški zobje vsebujejo podroben in trajen zapis o hudem pomanjkanju vitamina D. Ta se pokaže v obliki mikroskopskih deformacij dentina in je lahko zelo dragocen pri razumevanju, kdaj so bili ljudje, celo tisti, ki so živeli pred več stoletji, prikrajšani za sončno svetlobo, potrebno za proizvajanje vitamina D v telesu.
Zapis se ohrani v sklenini, ki zobe varuje pred lomljenjem (za razliko od kosti, ki lahko razpadejo). Težava pri iskanju tovrstnih deformacij je, da je treba zob prerezati, če želimo opazovati vzorce, ki razkrivajo zapis o količini vitamina D v življenju človeka, zaloga posmrtnih zob za preiskave pa je omejena.
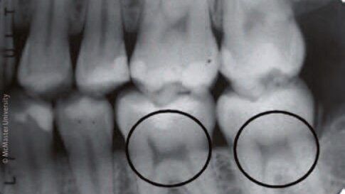
Da bi se izognili tratenju dragocenih vzorcev, so raziskovalci iskali način, s katerim bi izolirali zobe za nadaljnje raziskovanje. S proučevanjem oblik pulpnih rogov na RTG posnetkih so raziskovalci opazili konsistenten, prepoznaven vzorec, ki bi jim lahko pomagal pri raziskovanju arheoloških zob kot tudi pri ugotavljanju pomanjkanja vitamina D pri današnjih pacientih.
Oblika pulpe pri zobeh zdrave osebe spominja na lok, na vrhu katerega sta mačji ušesi; pri osebi s hudim pomanjkanjem vitamina D pa je ta lok asimetričen in zožen, običajno je videti kot profi l stola z naslonjalom.
Tudi predhodne raziskave D'Ortenzove in Brickleyeve so potrdile tovrsten prepoznaven vzorec in njuno proučevanje tako historičnih kot sodobnih zob je potrdilo, da so rentgenski posnetki konsistenten in zanesljiv indikator preteklega pomanjkanja vitamina D.
»Bil je pravi Eureka! Trenutek. Ne samo, da je bil vzorec videti drugače. Bil je drugačen,« se spominja Brickleyeva, ki je vodja kanadskega raziskovalnega programa za Bioarheologijo človeških bolezni. »Mislim, da je resnično pomembno. To delo je bilo v glavnem namenjeno vpogledu v preteklost, vendar lahko potencialno prispeva tudi v sodobnem zdravstvu.«
Ker so posledice pomanjkanja vitamina D lahko zelo hude – posebej v smislu zdravja kosti – lahko spoznanje, da je nekdo trpel za pomanjkanjem, pomaga prepoznati posameznike s težavami in preprečiti hujšo škodo, pravijo raziskovalci. Če redni RTG posnetki pokažejo težavo, lahko s krvnimi testi potrdimo morebitno trenutno pomanjkanje.
Boljše poznavanje pomanjkanja vitamina D lahko med drugim pomaga določiti najustreznejše ravnotežje med zaščito ljudi pred škodljivimi UV žarki in tem, da prejmejo dovolj sončne svetlobe za ohranjanje zdrave ravni tega življenjsko pomembnega nutrienta.
Raziskava z naslovom »Rahitični zob: uporaba rentgenskih posnetkov kot presejalna tehnika« je bila objavljena v spletni različici revije International Journal of Paleopathology.
MADRID, Španija: Nova raziskava nudi prepričljive dokaze, da so tretmaji na osnovi citronske kisline, zlasti tisti v kombinaciji s kolagenom in ...
Najosnovnejši namen zobne paste je pomagati vaši zobni ščetki opraviti svoje delo. Teorija optimalnega oralnega zdravja pomeni ohraniti nevtralen pH, ...
WASHINGTON, ZDA: Naravne spojine še naprej pritegujejo pozornost kot potencialne alternative sintetičnim sredstvom pri preprečevanju kariesa. ...
BRESCIA , Italija : Italijanski rinokirurgi so našli dislociran zobni implantat, ki je potoval navzgor skozi čeljustni sinus v etmoidne sinuse pri ...
LONDON, Anglija: Znanstveniki na King’s College London so pred kratkim objavili podrobnosti raziskave, ki združuje biološka spoznanja in najnovejšo...
MALMÖ – Švedski raziskovalci z Odontološke fakultete Univerze v Malmu so ugotovili, da v slini lahko zasledimo in določimo nekatere označevalce ...
MALMÖ – Švedski raziskovalci z Odontološke fakultete Univerze v Malmu so ugotovili, da v slini lahko zasledimo in določimo nekatere označevalce ...
COPENHAGEN, Danska: Avtorji nedavne študije so analizirali, ali dodatek visokega odmerka vitamina D v tretjem trimesečju nosečnosti izboljša dolgoročno...
LEIPZIG, Nemčija: Po navedbah avstralskega združenja zobozdravnikov (ADA) bo lahko minilo leto dni, preden bo cepivo za zdravljenje korona virusa postalo ...
MIAMI, ZDA: Yomi je robotsko podprta kirurška naprava, ki jo je razvilo novo zdravstveno podjetje Neocis. To je edini sistem te vrste, ki mu je Ameriška ...
Dr. Bruce McFarlane Certified Specialist in Orthodontics Fellow: Royal College of Dentists of Canada Diplomate: American Board of Orthodontics
Webinar v živo
sre. 15 april 2026
8:00 (CET) Ljubljana
Webinar v živo
čet. 16 april 2026
2:00 (CET) Ljubljana
Linda Hecker MS, BSDH, RDH
Webinar v živo
čet. 16 april 2026
6:00 (CET) Ljubljana
Dr. Pär-Olov Östman, Dr. Robert Gottlander DDS
Webinar v živo
pet. 17 april 2026
6:00 (CET) Ljubljana
Webinar v živo
pet. 17 april 2026
7:00 (CET) Ljubljana
Dr. Stuart Yeaton BDentSc, MOrth
Webinar v živo
pon. 20 april 2026
7:00 (CET) Ljubljana
Dr. Alberto Monje DDS, MS, PhD
To post a reply please login or register