Ocena remineralizacijskega in desenzibilizirajočega učinka zobne pene na osnovi amorfnega kalcijevega fosfata (ACP) na demineralizacijo zobne sklenine.
Cilj študije
Oceniti remineralizacijski in desenzibilizirajoči učinek dveh zobnih pen na demineralizacijo zobne sklenine pri otrocih.
Materiali in metode
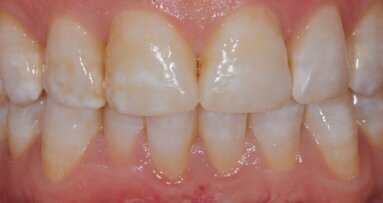
Vključenih je bilo 75 pacientov, starih od 6 do 16 let, ki so imeli vsaj eno demineralizacijo zobne sklenine, za katero je značilna omejena motnost na ravni maksilarnega ali mandibularnega stalnega molarja, popolni izbruh, podaljšala se je na od 1/3 do več kot 2/3 na ravni sklenine, s spremembo barve sklenine (bela, kreda, rumena, rjava). Pacienti so bili naključno razdeljeni v tri skupine: prvi skupini sta bila predpisana dva nanosa pene za karies, abrazijo in erozijo Curasept Biosmalto na dan, drugi skupini pa dva nanosa pene na dan, in sicer z amorfnim kalcijevim fosfatom in kazeinom (CPP-ACP) brez 900 ppm fluora, medtem ko je bila v tretji skupini predpisana uporaba 250 ppm fluoridne ustne vode, dvakrat na dan po 1 minuto. Vsi pacienti so med študijo uporabljali fluoridno zobno pasto s 1450 ppm fluora.
| 75 pacientov starih 6–16 let |
25 pacientov prejemalo zobno peno Biosmalto
25 pacientov prejemalo zobno peno Kazein-ACP
25 pacientov prejemalo ustno vodo s 250 ppm F- |
2 aplikaciji na dan,
spremljanje po 30
in 90 dnevih |
- ICDAS II: mednarodna lestvica od 0 do 6, ki se uporablja za oceno resnosti karioznih lezij
- DDE: lestvica, ki opisuje barvo lezije: 0 = normalno, 1 = kremno bela, 2 = temno rjava
- Podaljšanje lezije: 0 = odsoten, 1 = do 1/3 površine, 2 = do 2/3, 3 = čez 2/3
- SCASS: lestvica za merjenje preobčutljivosti po termičnem dražljaju. Od 0 = brez zaznane bolečine do 3 = močna bolečina, ki je bolnik ne more prenašati.
- Lestvica W-B: subjektivna lestvica VAS v razponu od 0 do 10, izrazi pacient na podlagi, kako močna
- je bolečina, ki jo občuti kot občutljivost
Rezultati
Redna uporaba pene za karies, abrazijo in erozijo Curasept Biosmalto je povzročila bistveno večjo remineralizacijo in desenzibilizacijo kot tista, ki smo jo dobili z 250-ppm fluoridno ustno vodico pri T1 (30 dni) in T2 (90 dni). Pri vseh ocenjenih parametrih je Biosmalto pokazal očitnejši in klinično opaznejši učinek kot kazein-ACP. Ta razlika je bila statistično značilna v korist Biosmalta v 90 dneh za vse parametre, medtem ko je bila v 30 dneh razlika statistično značilna le za parameter občutljivosti dentina.
Vrednosti ICDAS, s katerimi je ocenjena resnost stanja lezij.
Indeks DDE (razvoj lezije na sklenini).
Spremembe na površini lezije.
SCASS - Schiffova lestvica občutljivosti zob za hladen zrak.
Ugotovitve študije
Pri zdravljenju demineraliziranih lezij pri otrocih se je zobna pena za karies, abrazijo in erozijo Curasept Biosmalto izkazala za klinično učinkovito pri remineralizaciji prizadetih predelov, za izboljšanje njihovega kliničnega vidika in kontrastne občutljivosti dentina. Izkazalo se je, da je bil ta učinek v 90-dnevnem opazovanju statistično boljši tako od uporabe ustne vode s fluorom kot tudi od uporabe drugega izdelka na osnovi kalcija in amorfnega fosfata (ACP) s kazeinom. Desenzibilizirajoče delovanje pene za karies, abrazijo in erozijo Curasept Biosmalto je bilo hitrejše kot pri drugih penah na osnovi ACP, uporabljenih v tej študiji, že po 30 dneh. Ne nazadnje pa pena kljub daljši uporabi ni izkazala neželenih učinkov.
*Università degli Studi di Pisa, Italija, Oddelek za kirurško, medicinsko, molekularno in patologijo kritičnega področja, zobozdravstvo in kirurgijo ustne votline.
LEIPZIG, Nemčija: Čustvena inteligenca (EI) se nanaša na načine, s katerimi posameznik lahko razume in obvladuje svoje potrebe ter prepoznava in se ...
OSLO, Norveška / HELSINKI, Finska: Krone iz nerjavečega jekla se priporočajo za obnovitveno zdravljenje zob mladih pacientov, ki so močno prizadeti ...
Okvare in poškodbe sklenine so med svetovnim prebivalstvom vse pogostejše, zato so bili v preteklih letih že predlagani številni neinvazivni pristopi k ...
CANBERRA, Avstralija: Avstralci so slabemu ustnemu zdravju prebivalcev rdeče celine v zadnjih letih končno namenili prepotrebno pozornost. Raziskovalci z ...
Članek predstavlja serijo primerov (10 kliničnih primerov) nekirurškega zdravljenja parodontalnih žepkov. V vseh primerih so uporabili nov kolagenski ...
LONDON, UK: Odpornost na antibiotike je eden ključnih izzivov, s katerimi se bodo zobozdravniki in zdravstveni delavci soočali v prihodnjih desetletjih, ...
Od pojava težkega akutnega respiratornega sindroma zaradi okužbe s koronavirusom 2 (severe acute respiratory syndrome Coronavirus 2, SARS-CoV-2) decembra ...
RUGBY, UK / AMSTERDAM, Nizozemska: Ugotovitve nove študije kažejo, da večina ljudi ne uporablja svojih zob samo za prehranjevanje. Raziskava Fundacije za...
WASHINGTON, ZDA: Plastika je vtkana v vse vidike sodobne zobozdravstvene oskrbe, vključno s kompozitnimi zalivkami in sesalnimi konicami za enkratno ...
LONDON, Anglija: Zaradi zobozdravstvene krize NHS se vse več pacientov v Združenem kraljestvu, ki iščejo cenejše zobozdravstvene storitve v tujini, ...
Webinar v živo
sre. 15 april 2026
2:00 (CET) Ljubljana
Dr. Bruce McFarlane Certified Specialist in Orthodontics Fellow: Royal College of Dentists of Canada Diplomate: American Board of Orthodontics
Webinar v živo
sre. 15 april 2026
8:00 (CET) Ljubljana
Webinar v živo
čet. 16 april 2026
2:00 (CET) Ljubljana
Linda Hecker MS, BSDH, RDH
Webinar v živo
čet. 16 april 2026
6:00 (CET) Ljubljana
Dr. Pär-Olov Östman, Dr. Robert Gottlander DDS
Webinar v živo
pet. 17 april 2026
6:00 (CET) Ljubljana
Webinar v živo
pet. 17 april 2026
7:00 (CET) Ljubljana
Dr. Stuart Yeaton BDentSc, MOrth
Webinar v živo
pon. 20 april 2026
7:00 (CET) Ljubljana
Dr. Alberto Monje DDS, MS, PhD
To post a reply please login or register