Izboljšanje indeksa zobnih oblog ter zmanjšanje poroznosti zaradi izboljšanja teksture sklenine in dentina po izpostavitvi F-ACP. (Slika: Daniele Modesti)
Okvare in poškodbe sklenine so med svetovnim prebivalstvom vse pogostejše, zato so bili v preteklih letih že predlagani številni neinvazivni pristopi k zdravljenju nekavitacijskih lezij. Okvare in poškodbe sklenine so med svetovnim prebivalstvom vse pogostejše, zato so bili v preteklih letih že predlagani številni neinvazivni pristopi k zdravljenju nekavitacijskih lezij.
Za zgodnje faze kariesa je značilna hipomineralizacija brez tvorbe kavitacije zaradi tvorbe kislih presnovkov. Ta faza je sprva reverzibilna, dokler – če ukrepamo preventivno in zgodaj – ne dobi kavitacijskega videza, ki se opazi kot zobna gniloba ali karies.
Lezije sklenine lahko razdelimo na kvalitativne in kvantitativne okvare.
Kvantitativne so okvare, pri katerih primanjkuje sklenine. Odraža se v jamicah, razpokah, depresijah ali predelih na površini zobne krone, na kateri ni nič več tkiva sklenine, t. i. hipoplazija.
Kvalitativne so okvare, pri katerih nastane sklenina običajne debeline, vendar ni dovolj trdna, t. i. hipomineralizacija. Te lezije so lezije belih ali rjavih madežev, fluoroza, MIH, travmatične lezije in postortodontske lezije. Lezije sklenine lahko razvrstimo na prederuptivne in posteruptivne okvare. Prederuptivna okvara je okvara, povezana z genetskim stanjem, razvojnimi anomalijami, intoleranco na hrano, prehranskimi pomanjkljivostmi, okoljskimi dejavniki, uporabo zdravil in/ali dodatkov (npr. sistemsko dani fluorid) in drugimi dejavniki; zobni del zraste v ustni votlini z že obstoječo in vidno lezijo. Posteruptivna okvara je povezana izključno s kopičenjem bakterijskega biofilma in posledično z nastajanjem kislin na površini sklenine.
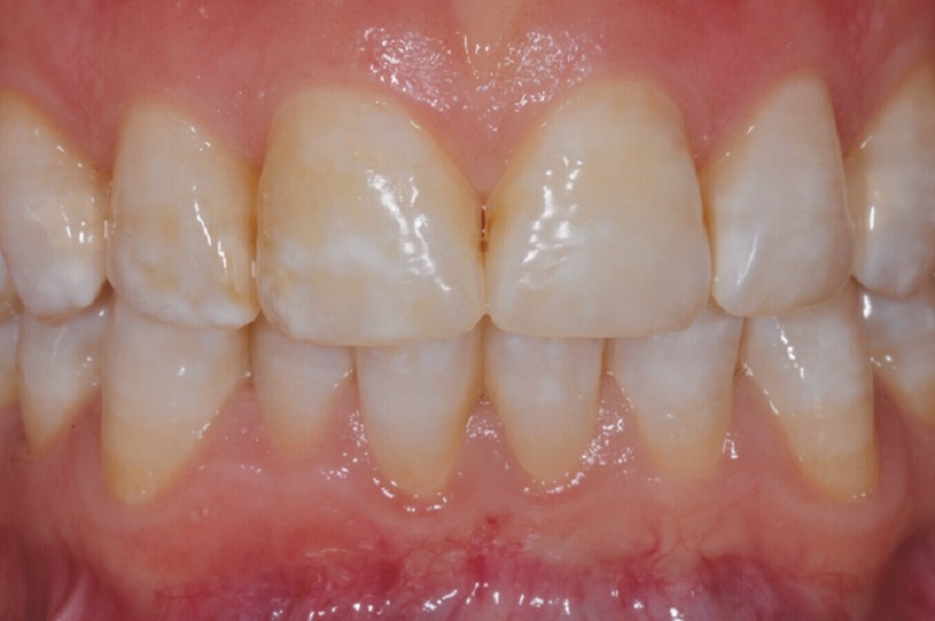
Slika 1: Pred zdravljenjem.
Danes za zdravljenje teh okvar ni terapije izbora, vendar pa literatura predlaga, da se upoštevajo preventivnimi protokoli in čedalje invazivnejši načini zdravljenja. Pri preventivnih pristopih se lahko zanesemo na to, da je uporaba pene (ali moussov) na osnovi kalcija in amorfnih fosfatov z dodanim fluoridom (F-ACP) daleč najbolj obetaven pristop, hkrati pa tudi najcenejši za pacienta in v večini primerov edini, ki lahko okvaro obnovi v prvotno stanje.
Pene imajo širok spekter učinkov in uporabe v zobozdravstvu: po beljenju zob, profesionalnem posegu ustne higiene ali skobljanju korenin, ob visoki dovzetnosti za karies, občutljivosti zob, hiposalivaciji, pri bolnikih z gastroezofagealnim refluksom ali s hipomineralizacijo sklenine. Pena se uporabi v skoraj vsaki klinični situaciji, najpogostejši pristopi, zlasti v terapevtske namene pa vključujejo obvladovanje okvar sklenine.
Dodajanje citrata in fluorida v peno izboljša remineralizacijsko delovanje. Preskusi in vitro so pokazali, da se v petih minutah po nanosu dentinski tubuli zmanjšajo in ustvari se nova plast hidroksiapatita. Pravzaprav ACP velja za predhodnika samega hidroksiapatita, saj se zaradi amelogenina amorfni delci spremenijo v kristalne minerale.
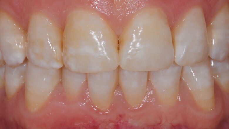
Slika 2: Po 30 dneh.
Kljub temu so bili najboljši rezultati doseženi in vivo. V obravnavanem kliničnem primeru je bil namen 37-letne ženske pri obisku zobozdravnika, da bi izboljšala videz svojega nasmeha. Po temeljiti anamnezi in pravilni diagnozi zobne fluoroze (slika 1) je prejela remineralizirajoče zdravljenje na osnovi F-ACP (Biosmalto Mousse Caries, Abrasion & Erosion), ki ga je nanašala v posamezne termoformirane nastavke in uporabljala dvakrat na dan po 20 minut. Svetoval sem ji tudi, naj si v naslednji uri po uporabi pene ne izpira ust, ne pije, ne zaužije hrane in ne kadi. Pacientko smo prosili, naj nastavke dosledno uporablja, vsakih 30 dni hodi na preglede in zdravljenje dopolni z remineralizirajočo zobno pasto Biosmalto Caries, Abrasion & Erosion ter zobno ščetko z mehkimi ščetinami Curasept Soft 012 z Bassovo tehniko ščetkanja.
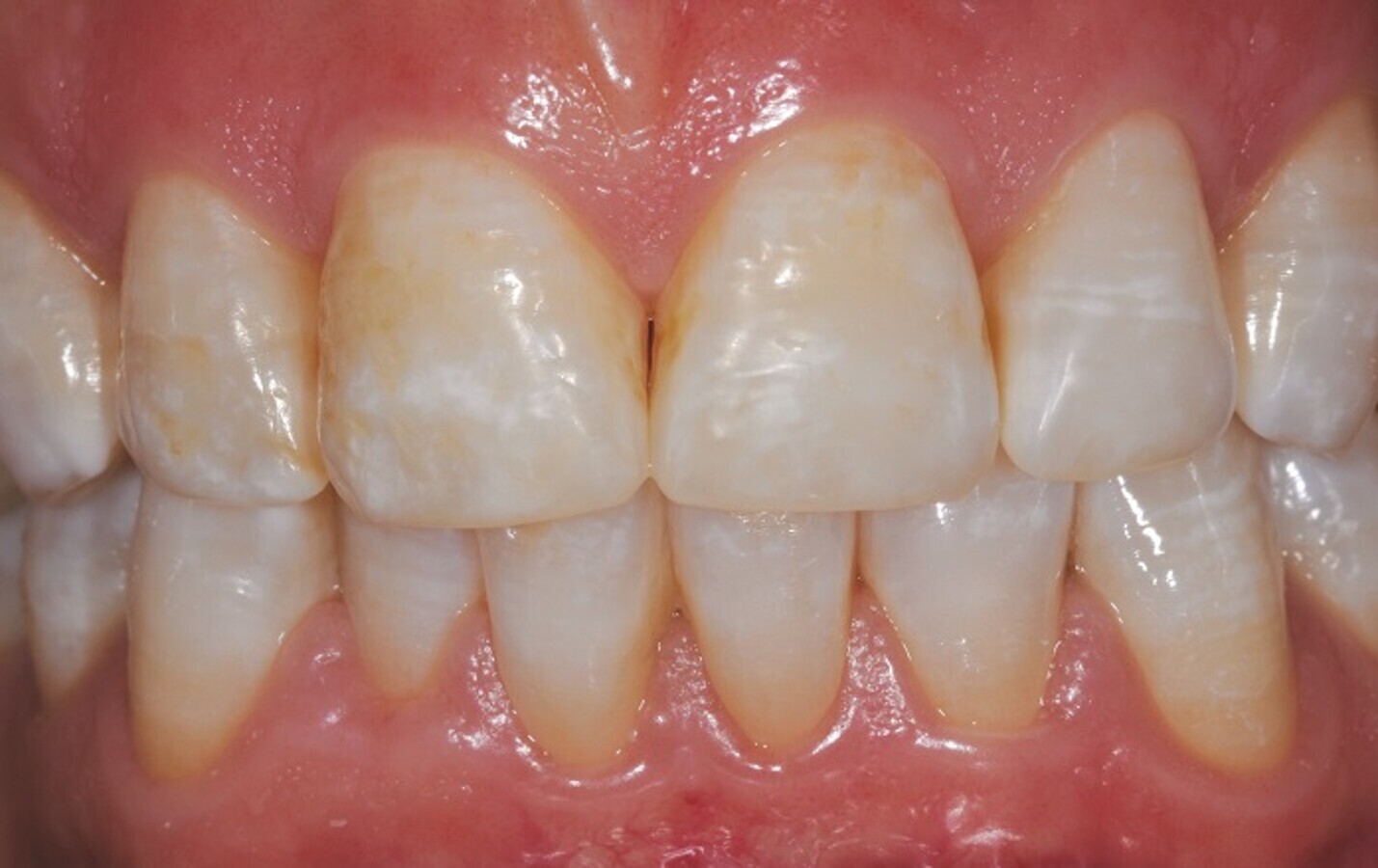
Pacientka je izkazala visoko stopnjo sodelovanja pri zdravljenju in po predpisanem protokolu, opazila je tudi klinične izboljšave, pa ne le po videzu (fotografiji na slikah 2 in 3 sta posneti po 30 in 70 dneh), temveč tudi glede občutka, tako da je poročala o zmanjšani občutljivosti zob. Pri pregledih lahko opazimo izboljšanje indeksa zobnih oblog ter zmanjšano poroznost zaradi izboljšanja teksture sklenine in dentina.
Slika 3: Po 70 dneh.
Ker je pena v brezvodni obliki, se hitreje sprošča in sproščene molekule so manjše, to pa omogoča boljšo interakcijo z zobno površino in večjo učinkovitost kot zobna pasta. Visoka viskoznost pene, razpoložljivost, ugodna cena in značilnosti samega izdelka olajšajo uporabo protokola, ki je podprt z znanstvenimi dokazi.
Ocena remineralizacijskega in desenzibilizirajočega učinka zobne pene na osnovi amorfnega kalcijevega fosfata (ACP) na demineralizacijo zobne sklenine.
LOWELL, Mass., U.S .: Zdrobljene jajčne lupine se uporabljajo za veliko praktičnih namenov. Uporabljajo se kot naravni kalcijev dodatek, sladilo za kavo, ...
HONG KONG: Glede na študijo Global Burden of Disease (Globalno breme bolezni) karies v zgodnjem otroštvu prizadene približno 530 milijonov otrok po vsem...
LONDON, UK / ATLANTA, ZDA: Po analizi obnovitve zob pri živalih, kjer se zobje menjajo in imajo regenerativne sposobnosti, so raziskovalci iz Velike ...
LONDON, Združeno kraljestvo: Ko ljudje pomislijo na odnos med zobozdravnikom in pacientom, navadno vsi to razmerje gledajo z vidika pacienta in pomislijo ...
BRNO, Češka: Nedavna študija, ki so jo izvedli znanstveniki z univerze Masaryk v Brnu, je pokazala, da obstaja povezava med novonastalo halitozo in ...
MANGALORE, Indija: Glavni vzrok za neredno obiskovanje zobozdravnika lahko izvira iz prvih izkušenj z zobozdravstvenim okoljem v otroštvu. V nedavni ...
COPENHAGEN, Danska: Avtorji nedavne študije so analizirali, ali dodatek visokega odmerka vitamina D v tretjem trimesečju nosečnosti izboljša dolgoročno...
Izobraževanje
Webinar v živo sre. 15 april 2026 8:00 (CET) Ljubljana
Pred skoraj tremi desetletji je sistem Invisalign s terapijo z opornicami spremenil ortodontijo. A za vsakim nasmehom je bil zapleten in dolgotrajen proces ...
BILBAO, Španija: Čeprav so sistemske zdravstvene posledice nevropsihiatričnih motenj dobro znane, je bila njihova povezava s slabim ustnim zdravjem – ...
SAN DIEGO, ZDA: Ker je uporaba konoplje vse pogostejša, so njena zdravstvena tveganja še vedno predmet preiskav – zlasti njen vpliv na raka. Nekateri ...
To post a reply please login or register