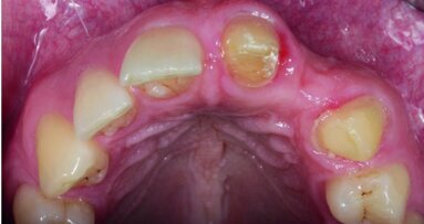
Eden največjih izzivov sodobne implantologije je vzdrževanje oziroma rekonstrukcija bukalnega volumna, ki ga sestavlja skupek med seboj povezanih struktur: bukalna ploskev (vestibularna kost), mehka tkiva (debelina dlesni, keratinizirana dlesen, papile) in kostni vrški. Te strukture igrajo ključno vlogo pri implantoprotetičnih rehabilitacijah, saj zagotavljajo optimalne estetske in funkcionalne rezultate ter dolgotrajno zaščito implantata pred resorpcijo kosti.
Vendar pa v primerih po ekstrakciji ali na zaceljenih alveolarnih mestih skoraj vedno pride do fiziološke, a pomembne izgube volumna, ki prizadene tako trda kot mehka tkiva.
Toda kaj pravzaprav povzroča to izgubo po ekstrakciji zoba?
Odgovor se skriva v kostnem snopu, zelo tanki plasti vestibularne kosti (znane tudi kot ligamentna kost), ki je tesno povezana s periodontalnim ligamentom ekstrahiranega zoba. Ob izgubi zoba se parodontalni ligament zmanjša, kar sproži verižno reakcijo, ki vodi do resorpcije bukalne kostne ploskve in krčenja okoliških mehkih tkiv.
Parodontalni ligament je torej ključni dejavnik pri ohranjanju ali izgubi perialveolarnih volumnov.
Na SISS mednarodnem kongresu bomo razpravljali o tehnikah ohranjanja parodontalnega ligamenta v implantatih po ekstrakciji, pri čemer bodo sodelovali priznani italijanski in mednarodni strokovnjaki. To bo dragocena priložnost za raziskovanje tehnik, povezanih s »Self in situ«, kot so Socket-Shield, RST, Pontic Shield, Glocker in Coronectomy. Pričakujemo vas v Bologni.
Za prijave pokličite tel.: 01 620 75 96.
V ustni votlini se nahaja do 800 različnih vrst bakterij, od katerih so mnoge kariogene. Cilj dobre ustne higiene je odstranitev the bakterij iz ustne ...
SEATTLE, ZDA: Kopičenje biofilma lahko povzroči številne težave ustnega zdravja, vključujoč gingivitis, parodontitis in izgubo zob, ter drugimi ...
Članek predstavlja serijo primerov (10 kliničnih primerov) nekirurškega zdravljenja parodontalnih žepkov. V vseh primerih so uporabili nov kolagenski ...
PHILADELPHIA, ZDA/ CHENGDU, Kitajska: Navkljub izrednemu napredku oralnega zdravstva je paradontalna bolezen še vedno najpogostejši vzrok za izgubo zob ...
V opisanem kliničnem primeru je načrt protetične rehabilitacije vstavitev zobnega vsadka na mesto manjkajočega stranskega sekalca. To področje je...
LONDON, Združeno kraljestvo: Ko ljudje pomislijo na odnos med zobozdravnikom in pacientom, navadno vsi to razmerje gledajo z vidika pacienta in pomislijo ...
AARHUS, Danska: Kajenje lahko močno vpliva na zdravljenje parodontoze – to je ugotovila nedavna študija, ki je raziskovala vpliv različnih stopenj ...
WASHINGTON, ZDA: Plastika je vtkana v vse vidike sodobne zobozdravstvene oskrbe, vključno s kompozitnimi zalivkami in sesalnimi konicami za enkratno ...
LONDON, Anglija: Zaradi zobozdravstvene krize NHS se vse več pacientov v Združenem kraljestvu, ki iščejo cenejše zobozdravstvene storitve v tujini, ...
BRISBANE, Avstralija: Umetna inteligenca (AI) se pojavlja kot preobrazbena sila v avstralskem zobozdravstvu. Nov nacionalni pregled pa je pokazal, kako ...
Dr. Bruce McFarlane Certified Specialist in Orthodontics Fellow: Royal College of Dentists of Canada Diplomate: American Board of Orthodontics
Webinar v živo
sre. 15 april 2026
8:00 (CET) Ljubljana
Webinar v živo
čet. 16 april 2026
2:00 (CET) Ljubljana
Linda Hecker MS, BSDH, RDH
Webinar v živo
čet. 16 april 2026
6:00 (CET) Ljubljana
Dr. Pär-Olov Östman, Dr. Robert Gottlander DDS
Webinar v živo
pet. 17 april 2026
6:00 (CET) Ljubljana
Webinar v živo
pet. 17 april 2026
7:00 (CET) Ljubljana
Dr. Stuart Yeaton BDentSc, MOrth
Webinar v živo
pon. 20 april 2026
7:00 (CET) Ljubljana
Dr. Alberto Monje DDS, MS, PhD
To post a reply please login or register