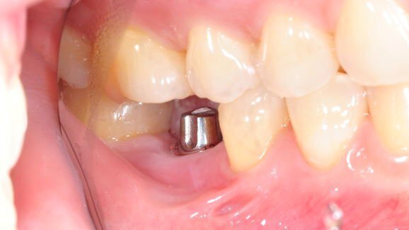
UPPSALA, Švedska: Uspešnost zobnih in ortopedskih vsadkov je v veliki meri odvisna od integracije vsadka v kost. Skupina raziskovalcev na Univerzi Uppsala na Švedskem je razvila nov premaz, ki izboljša integracijo vsadka s kostnim tkivom in prepreči zavrnitveno reakcijo vsadka.
Preliminarni preizkusi narejeni na Institutu Laue-Langevin, ki je mednarodni raziskovalni center v Grenoblu v Franciji, so pokazali, da se površina titanovega-oksida obdana s premazom iz bifosfonatno modificiranega hialuronskega gela veže na kostni morfogenetski protein-2, ki se kasneje sprošča na nadzorovan način; in sicer ob stiku površine vsadka s kalcijevimi ioni. Po mnenju raziskovalcev ta proces lahko stimulira rast kosti okoli zobnega vsadka.
Trenutno imajo raziskovalci v načrtu testiranje podobnih materialov za kovinske vsadke za prenos rezultatov raziskave v klinično uporabo.
»Predvidevamo, da se bodo materiali v medicini v prihodnosti uporabljali za modulacijo procesa celjenja kostnine,« pravi Prof. Dmitri Ossipov, avtor raziskave in izredni profesor na omenjeni univerzi.«
Raziskava z naslovom Strategija polimernega pametnega premaza za titanove vsadke(angl. Polymeric smart coating strategy for titanium implants), je bila objavljena v marčevski izdaji revije Advanced Engineering Materials.
CAMBRIDGE, Massachusetts, ZDA: z novim razvojem potencialnega materiala za 3D-tiskanje in konvencionalnega litja v zobozdravstvu so raziskovalci na ...
CHICAGO, ZDA: Hidroksiapatit je pomembna sestavina trdega tkiva. Zobna sklenina ima na primer najvišjo koncentracijo tega minerala. Disfunkcionalna ...
Odense, Danska / VALENCIA, Španija: Za določitev potencialnih biomarkerjev za zobno gnilobo, je mednarodna skupina raziskovalcev podrobneje raziskala ...
GREIFSWALD, Nemčija: Nemški znanstveniki so napovedali začetek novega raziskovalnega projekta, katerega cilj je razvoj inovativnega izdelka za zobno ...
TORONTO, Kanada: Raziskovalci z univerze v Torontu (UT) so nedavno prejeli sredstva za razvoj novega restavracijskega materiala za zdravljenje zobnega ...
DRŽAVNI KOLEGIJ, PA, ZDA: Ljudje že dolgo vedo, da lahko individualne razlike v okusu in vonju vplivajo na všečnost ali nevšečnost določene hrane. ...
MADRID, Španija: Nova raziskava nudi prepričljive dokaze, da so tretmaji na osnovi citronske kisline, zlasti tisti v kombinaciji s kolagenom in ...
PHILADELPHIA, U.S .: Boj proti zobnemu plaku je že zelo stara bitka. Raziskovalci z Univerze v Pennsylvaniji so z razvojem mikrobotov, vodenih z magneti, ...
New York – Fluoridi ščitijo naše zobe pred kariesom, lahko pa jih tudi poškoduje in povzročijo grde madeže. Raziskovalci so odkrili, zakaj je ...
LOWELL, Mass., U.S .: Zdrobljene jajčne lupine se uporabljajo za veliko praktičnih namenov. Uporabljajo se kot naravni kalcijev dodatek, sladilo za kavo, ...
Webinar v živo
sre. 15 april 2026
8:00 (CET) Ljubljana
Webinar v živo
čet. 16 april 2026
2:00 (CET) Ljubljana
Linda Hecker MS, BSDH, RDH
Webinar v živo
čet. 16 april 2026
6:00 (CET) Ljubljana
Dr. Pär-Olov Östman, Dr. Robert Gottlander DDS
Webinar v živo
pet. 17 april 2026
6:00 (CET) Ljubljana
Webinar v živo
pet. 17 april 2026
7:00 (CET) Ljubljana
Dr. Stuart Yeaton BDentSc, MOrth
Webinar v živo
pon. 20 april 2026
7:00 (CET) Ljubljana
Dr. Alberto Monje DDS, MS, PhD
Webinar v živo
sre. 22 april 2026
5:00 (CET) Ljubljana
MDT Andreas Chatzimpatzakis
To post a reply please login or register